Webinar
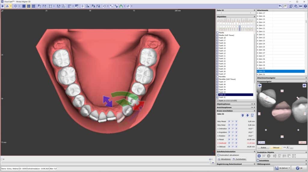
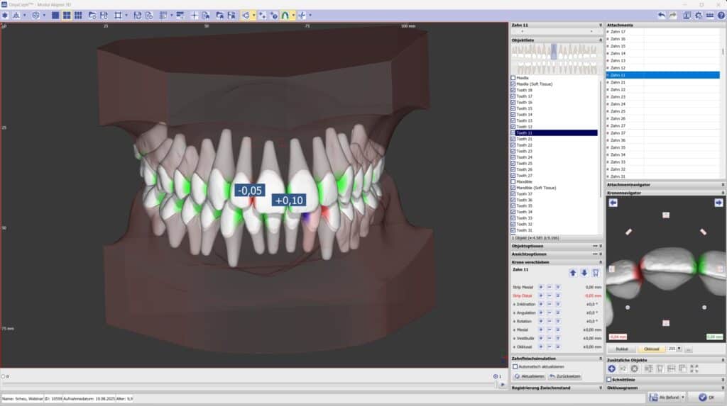
Dieses Webinar vermittelt die Grundlagen der Setup- und Schrittplanung im Modul Aligner von OnyxCeph³™ und baut auf der Basisschulung auf. Im Fokus stehen die Erstellung eines sauberen Setups sowie die strukturierte Planung einzelner Behandlungsschritte – als Grundlage für eine realistische und nachvollziehbare Alignertherapie.
Niveau: Beginner · Gruppengröße: max. 15 Teilnehmer:innen
Dieses Webinar richtet sich an Anwender:innen, die bereits die Grundlagen kennen und jetzt lernen möchten, wie man im Modul Aligner ein Setup aufbaut und die Behandlungsschritte sauber strukturiert. Ideal für Kieferorthopäd:innen, Zahnärzt:innen und Praxisteams, die ihre Alignerplanung praxisnah vertiefen möchten.
Setup-Erstellung: Ausgangslage und Ziel-Setup sauber definieren
Schrittplanung: Bewegungen in sinnvolle Etappen gliedern
Workflow: Setup → Schritte → Kontrolle und Anpassung
Sprache: Deutsch
Teilnahme: Live in kleiner Gruppe – Fragen & Austausch sind ausdrücklich erwünscht.
Format: Live-Webinar mit Praxisdemonstration in OnyxCeph³™
Software: OnyxCeph³™ (aktuelle Version empfohlen)
Technik: Stabiler Internetzugang, Headset oder Lautsprecher, zweiter Bildschirm empfohlen
Installation / Demo-Lizenz: Falls OnyxCeph³™ noch nicht installiert ist, können Sie im Vorfeld eine Demo-Lizenz anfragen und die Software nach Anleitung installieren.
Anmeldung & Teilnahme: Nach der Anmeldung erhalten Sie eine Rechnung per E-Mail. Nach Zahlungseingang ist Ihre Anmeldung verbindlich und Sie bekommen den Zugangslink zur virtuellen Veranstaltung (bitte auch den Spam-Ordner prüfen).
Online - Microsoft Teams

| Cookie | Dauer | Beschreibung |
|---|---|---|
| cookielawinfo-checkbox-analytics | 11 months | This cookie is set by GDPR Cookie Consent plugin. The cookie is used to store the user consent for the cookies in the category "Analytics". |
| cookielawinfo-checkbox-functional | 11 months | The cookie is set by GDPR cookie consent to record the user consent for the cookies in the category "Functional". |
| cookielawinfo-checkbox-necessary | 11 months | This cookie is set by GDPR Cookie Consent plugin. The cookies is used to store the user consent for the cookies in the category "Necessary". |
| cookielawinfo-checkbox-others | 11 months | This cookie is set by GDPR Cookie Consent plugin. The cookie is used to store the user consent for the cookies in the category "Other. |
| cookielawinfo-checkbox-performance | 11 months | This cookie is set by GDPR Cookie Consent plugin. The cookie is used to store the user consent for the cookies in the category "Performance". |
| viewed_cookie_policy | 11 months | The cookie is set by the GDPR Cookie Consent plugin and is used to store whether or not user has consented to the use of cookies. It does not store any personal data. |