Webinar
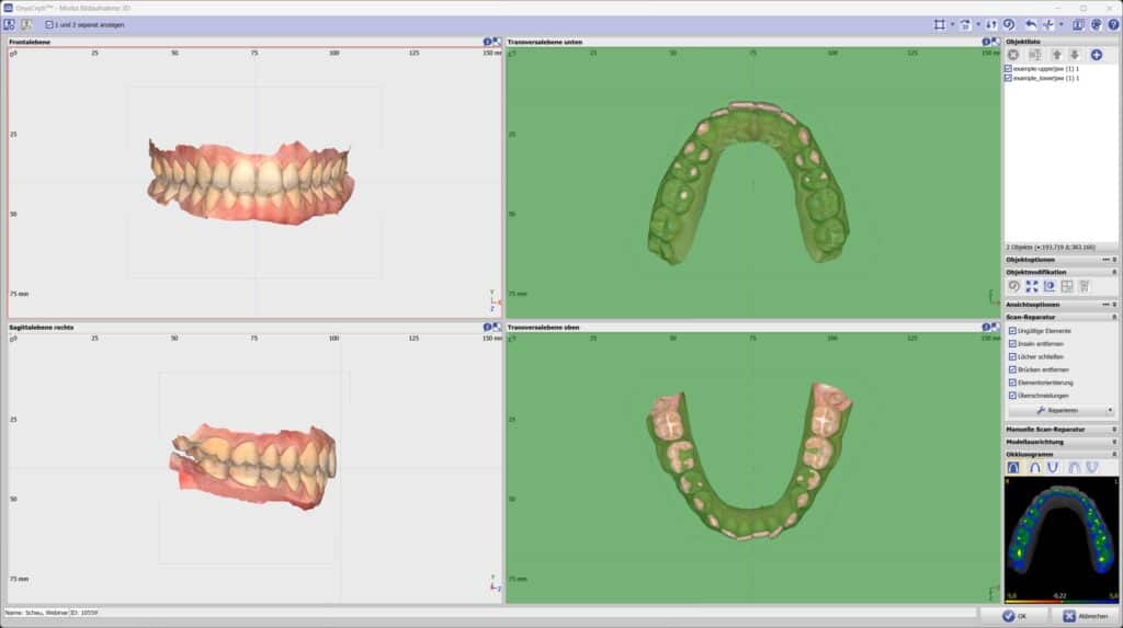
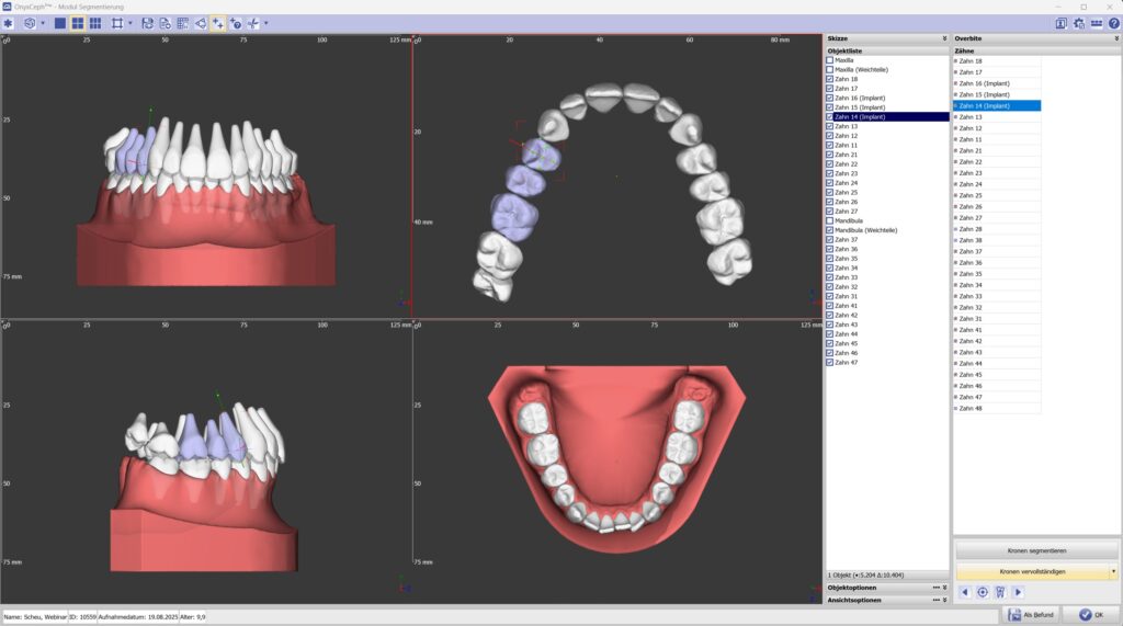
Dieses Webinar ist der ideale Einstieg in die digitale Alignerplanung mit OnyxCeph³™. Gemeinsam legen wir die wichtigsten Grundlagen – damit Sie später in den weiterführenden Webinaren (Aligner 2 + 3) effizient und sicher planen können. Der Fokus liegt auf einem klaren, praxisnahen Workflow: von der Orientierung in 3D bis zur sauberen Vorbereitung der Modelle.
Niveau: Beginner · Gruppengröße: max. 15 Teilnehmer:innen
Dieses Webinar richtet sich an Anwender:innen, die neu in die digitale Alignerplanung mit OnyxCeph³™ einsteigen oder ihre Grundlagen systematisch festigen möchten – ideal für Kieferorthopäd:innen, Zahnärzt:innen und Praxisteams.
Orientierung in der 3D-Umgebung: Tools und Ansichten sicher nutzen
Datenimport & Ausrichtung: präzises Positionieren als stabile Grundlage
Sockeln & Segmentieren: Modelle sauber vorbereiten für die nächsten Schritte
Sprache: Deutsch
Teilnahme: Live in kleiner Gruppe – Fragen & Austausch sind ausdrücklich erwünscht.
Hinweis:
Bitte schalten Sie Ihre Kamera nach Möglichkeit ein. Das erleichtert den Austausch und macht das Webinar für alle persönlicher und interaktiver.
Format: Live-Webinar mit Praxisdemonstration in OnyxCeph³™
Software: OnyxCeph³™ (aktuelle Version empfohlen)
Technik: Stabiler Internetzugang, Headset oder Lautsprecher, zweiter Bildschirm empfohlen
Optional: Falls OnyxCeph³™ noch nicht installiert ist, können Sie im Vorfeld eine Demo-Lizenz anfragen
Anmeldung & Teilnahme: Nach der Anmeldung erhalten Sie eine Rechnung per E-Mail. Nach Zahlungseingang ist Ihre Anmeldung verbindlich und Sie bekommen den Zugangslink zur virtuellen Veranstaltung (bitte auch den Spam-Ordner prüfen).
Online - Microsoft Teams

Onlineschulung

| Cookie | Dauer | Beschreibung |
|---|---|---|
| cookielawinfo-checkbox-analytics | 11 months | This cookie is set by GDPR Cookie Consent plugin. The cookie is used to store the user consent for the cookies in the category "Analytics". |
| cookielawinfo-checkbox-functional | 11 months | The cookie is set by GDPR cookie consent to record the user consent for the cookies in the category "Functional". |
| cookielawinfo-checkbox-necessary | 11 months | This cookie is set by GDPR Cookie Consent plugin. The cookies is used to store the user consent for the cookies in the category "Necessary". |
| cookielawinfo-checkbox-others | 11 months | This cookie is set by GDPR Cookie Consent plugin. The cookie is used to store the user consent for the cookies in the category "Other. |
| cookielawinfo-checkbox-performance | 11 months | This cookie is set by GDPR Cookie Consent plugin. The cookie is used to store the user consent for the cookies in the category "Performance". |
| viewed_cookie_policy | 11 months | The cookie is set by the GDPR Cookie Consent plugin and is used to store whether or not user has consented to the use of cookies. It does not store any personal data. |