1
2
Clear All
November
Veranstaltungsdetails
Was ist OnyxCeph³™ und was kann die Software eigentlich? Wie sind die Kosten und
Veranstaltungsdetails

Was ist OnyxCeph³™ und was kann die Software eigentlich? Wie sind die Kosten und welche Systemvoraussetzungen gibt es?
Alle diese Fragen möchte ich in einem kurzen Webinar beantworten.
Folgende Themen werden beleuchtet:
- Vorstellung Softwarehersteller
- Übersicht Module/Funktionen
- Preisliste Software
- Technische Infos/Systemvoraussetzungen
- Schnittstellen
- Schulungen & Support
Bitte melden Sie sich nur an wenn Sie auch wirklich teilnehmen können. Dieser Kurs ist kostenfrei.
Details zur virtuellen Veranstaltung
Zugang zum Webinar
Zeit
26. November 2025 13:00 - 13:45
Ort
Online - Zoom
Referent

André Kranzusch
Ticketinformationen
Kostenfrei

Bitte buchen Sie das Ticket über den "Schulung buchen"- Button und geben Ihre Rechnungsdaten an. Es entstehen keine Kosten und Sie erhalten keine Rechnung sondern nur eine E-mailbenachrichtigung mit der Bestellung und dem Zugangslink.
Dezember
Mo08dez9:3011:00Webinar - Aligner 1Aligner VorbereitungOnline - Microsoft Teams9:30 - 11:00
Veranstaltungsdetails
Beginner
Veranstaltungsdetails
Beginner
max. 15 Teilnehmer

Webinar Aligner 1 – Grundlagen der digitalen Alignerplanung mit OnyxCeph³™
Dieses Webinar ist der ideale Einstieg in die digitale Kieferorthopädie mit OnyxCeph³™. In der Basisschulung lernen Sie die wichtigsten Schritte kennen, um sich optimal auf die spätere Alignerplanung vorzubereiten.
Inhalte der Schulung
- Grundlagen 3D – Verständnis für die 3D-Umgebung und die wichtigsten Tools
- Datenimport & Ausrichtung – wie Patientendaten sicher und präzise in OnyxCeph³™ importiert und positioniert werden
- Sockeln & Segmentieren – praxisnahes Arbeiten an digitalen Modellen als Basis für die weitere Planung
Bitte beachten Sie, dass die komplette Alignerplanung erst mit Webinar Aligner 1+2+3 abgehandelt ist.
Sie haben die Möglichkeit im Vorfeld eine Demolizenz für OnyxCeph³™ anzufragen, falls diese nicht schon installiert ist. Eine zeitgleiche Bearbeitung an Ihrem Rechner ist also möglich, wir empfehlen einen zweiten Bildschirm für einen optimalen Lerneffekt.
Zielgruppe
Das Webinar richtet sich an Kieferorthopäd:innen, Zahnärzt:innen und Praxismitarbeiter:innen, die ihre Kenntnisse in der digitalen Alignerplanung mit OnyxCeph³™ vertiefen und praxisnah erweitern möchten.
Werden Sie Schritt für Schritt fit in der digitalen Alignertherapie und bringen Sie Ihr Behandlungskonzept auf den neuesten Stand!
Details zur virtuellen Veranstaltung
Inhalt nur für zahlende Teilnehmer verfügbar!
Zeit
8. Dezember 2025 9:30 - 11:00
Ort
Online - Microsoft Teams
Referent

André Kranzusch
Mo08dez11:3013:00Webinar - Aligner 2Setup+StepplanungOnline - Microsoft Teams11:30 - 13:00
Veranstaltungsdetails
Beginner
Veranstaltungsdetails
Beginner
max. 15 Teilnehmer

Webinar Aligner – Basisschulung zur Setup- und Schrittplanung mit OnyxCeph³™
Dieses Webinar vermittelt die Grundlagen für die digitale Alignertherapie mit OnyxCeph³™ und baut auf der Basisschulung auf. Im Fokus stehen die Erstellung von Setups sowie die Planung einzelner Behandlungsschritte im Modul Aligner.
Inhalte der Schulung
- Setup-Erstellung im Modul Aligner – digitale Vorbereitung für die Alignerbehandlung
- Schrittplanung im Modul Aligner – strukturierte Planung von Bewegungsstufen und Behandlungsabläufen
Bitte beachten Sie: Die komplette Alignerplanung wird erst in den weiterführenden Webinaren Aligner 1 + 2 + 3 behandelt.
Sie haben die Möglichkeit im Vorfeld eine Demolizenz für OnyxCeph³™ anzufragen, falls diese nicht schon installiert ist. Eine zeitgleiche Bearbeitung an Ihrem Rechner ist also möglich, ich empfehle einen zweiten Bildschirm für einen optimalen Lerneffekt.
Zielgruppe
Das Webinar richtet sich an Kieferorthopäd:innen, Zahnärzt:innen und Praxismitarbeiter:innen, die ihre Kenntnisse in der digitalen Alignerplanung mit OnyxCeph³™ vertiefen und praxisnah erweitern möchten.
Details zur virtuellen Veranstaltung
Inhalt nur für zahlende Teilnehmer verfügbar!
Zeit
8. Dezember 2025 11:30 - 13:00
Ort
Online - Microsoft Teams
Referent

André Kranzusch
Di09dez9:3011:00Webinar - Aligner 3Export + Expert FeaturesMicrosoft Teams9:30 - 11:00
Veranstaltungsdetails
Beginner/Fortg.
Veranstaltungsdetails
Beginner/Fortg.
max. 14 Teilnehmer

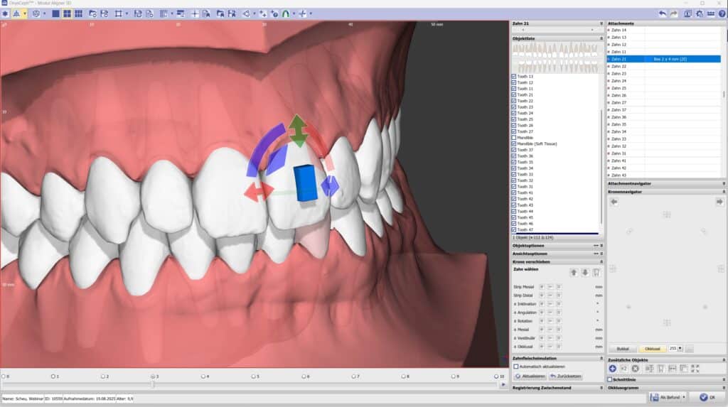
Im dritten Teil der OnyxCeph³™-Basisschulung zur Alignerplanung vertiefen Sie Ihr Wissen und lernen die nächsten entscheidenden Schritte für die praktische Umsetzung kennen. Dabei liegt der Fokus auf dem Export, der Arbeit mit Attachments und erweiterten Planungsoptionen.
Inhalte der Schulung
- Datenexport – sichere und strukturierte Übergabe für die weitere Verarbeitung
- Attachments – Planung und Umsetzung von Attachments für die Alignertherapie
- Staging, Stripping & Gruppenbewegungen – erweiterte Planungsschritte für komplexe Fälle
- Objekte einfügen – Zusatzfunktionen für individuelle Behandlungsabläufe
Bitte beachten Sie, dass die komplette Alignerplanung erst mit Webinar Aligner 1+2+3 abgehandelt ist.
Sie haben die Möglichkeit im Vorfeld eine Demolizenz für OnyxCeph³™ anzufragen, falls diese nicht schon installiert ist. Eine zeitgleiche Bearbeitung an Ihrem Rechner ist also möglich, wir empfehlen einen zweiten Bildschirm für einen optimalen Lerneffekt.
Zielgruppe
Das Webinar richtet sich an Kieferorthopäd:innen, Zahnärzt:innen und Praxismitarbeiter:innen, die ihre Kenntnisse in der digitalen Alignerplanung mit OnyxCeph³™ vertiefen und praxisnah erweitern möchten.
Details zur virtuellen Veranstaltung
Inhalt nur für zahlende Teilnehmer verfügbar!
Zeit
9. Dezember 2025 9:30 - 11:00
Ort
Microsoft Teams
Referent

André Kranzusch
Veranstaltungsdetails
Fortgeschrittene
Veranstaltungsdetails
Fortgeschrittene
max. 20 Teilnehmer

In diesem Webinar erhalten Sie einen umfassenden Überblick über die vielseitigen Möglichkeiten der Schienengestaltung mit OnyxCeph³™. Behandelt werden praxisnahe Anwendungsbeispiele aus dem Bereich Michigan-Schienen. Ziel ist es, die Vielseitigkeit der Schienengestaltung kennenzulernen und das Wissen in diesem spezialisierten Bereich zu vertiefen.
Inhalte des Webinars
- Grundaufbau im Modul – Basisfunktionen für den Start
- Blöcke – gezielte Gestaltungselemente einsetzen
- Schnittebenen – präzise Anpassung der Schienenform
- Nachbearbeitung – finale Optimierung der Modelle
- Kombination mit anderen Modulen – erweiterte Anwendungsmöglichkeiten in OnyxCeph³™
Zielgruppe
Das Webinar richtet sich an Anwender:innen von OnyxCeph³™, die bereits über Grundkenntnisse wie Sockeln und Segmentieren verfügen und ihre Kenntnisse im Bereich Schienengestaltung erweitern möchten.
Details zur virtuellen Veranstaltung
Zugang zum Webinar
Jetzt am Webinar teilnehmenHinweis Klicken Sie auf den Link um am Webinar teilzunehmen.
Zeit
9. Dezember 2025 13:00 - 14:00
Ort
Online - Microsoft Teams
Referent

André Kranzusch
Ticketinformationen
Fr19dez10:0014:00TADmatch & OrthoappsMiniimplantate und SliderMicrosoft Teams10:00 - 14:00
Veranstaltungsdetails
Technik trifft Praxis, mit Dr. Alexander Keller aus München.
Veranstaltungsdetails
Technik trifft Praxis, mit Dr. Alexander Keller aus München.
In diesem Kurs bauen wir auf den Grundlagen von OrthoApps auf und vermitteln Ihnen fundiertes Expertenwissen rund um Miniimplantate und Sliderkonstruktionen. Mithilfe des ModulsTADmatch erarbeiten wir präzise Positionierungsmöglichkeiten für Miniimplantate. Vom Setzen der Mini-Pins über die Erstellung einer individuellen Bohrschablone bis hin zur Planung der Slider-Apparatur in OrthoApps – gemeinsam entwickeln wir verschiedene Herangehensweisen und generieren finale Datensätze für eine erfolgreiche Umsetzung in der Praxis.
Inhalte des Workshops?
Grundlagen – André Kranzusch
Experteninfos – Dr. Alexander Keller
- Einführung TADmatch™ Modul, digitales Platzieren von Miniimplantaten und matchen von FRS oder DVT
- Bohrschablone
Gemeinsames Erstellen einer individuellen Bohrschablone - Scanbody-Technik
Nutzung eines Scanbodys zur virtuellen Positionierung gesetzter Schrauben
- Ein und Zweizeitiges Vorgehen bei Apparaturen
- Hands-On
Hybrid GNE, Beneslider, Distalizer, Mesialslider - Fertigungsprozess
Bestellung der Apparaturen - Q&A





Anmeldung & Teilnahme
Nach Ihrer Anmeldung erhalten Sie eine Rechnung per E-Mail. Die Zahlung erfolgt bequem per Überweisung. Nach Zahlungseingang ist Ihre Anmeldung verbindlich und Sie erhalten einen Zugangslink für die virtuelle Veranstaltung (bitte auch den Spam-Ordner prüfen).
Details zur virtuellen Veranstaltung
Inhalt nur für zahlende Teilnehmer verfügbar!
Zeit
19. Dezember 2025 10:00 - 14:00
Ort
Microsoft Teams
Referent

André Kranzusch

Dr. Alexander Keller
Beruflicher Werdegang
2025
Übernahme der kieferorthopädischen Praxis Dr. B. Lederer, Nymphenburg/Neuhausen2023 – 2024
Angestellter Kieferorthopäde, Dentalteam Dr. Hajtó & Dr. B. Lederer2021 – 2024
Angestellter Kieferorthopäde, Dr. Girthofer & Kollegen2022 – 2023
Angestellter Kieferorthopäde, Prof. Harder & Kollegen2020 – 2022
(Leitender) Oberarzt, Poliklinik für Kieferorthopädie, LMU München2017 – 2020
Weiterbildung Fachzahnarzt für Kieferorthopädie, LMU München2019
Promotion Dr. med. dent. (summa cum laude) bei Prof. Dr. A. Wichelhaus2016
Zahnärztliche Tätigkeit, Poliklinik für Zahnerhaltung, LMU München2010 – 2016
Studium der Zahnmedizin, LMU München (Abschluss „sehr gut“)
Januar
Veranstaltungsdetails
Beginner
Veranstaltungsdetails
Beginner
max. 8 Teilnehmer
8 Fortbildungspunkte

Dieser Kurs richtet sich an OnyxCeph-Anwender, die die Module „Ortho Apps, TADmatch™ & Bite Splint“ noch nicht kennen. Gemeinsam werden wir im OnyxCeph arbeiten und uns die Grundtechniken der Module anschauen, um gemeinsam zu planen und zu designen.
Im Fokus steht die Vermittlung technischer Grundlagen sowie die Darstellung der Möglichkeiten, wie die Software aus technischer Sicht für die Umsetzung digitaler Planungsabläufe genutzt werden kann. Der Anspruch ist, die Nutzung der Software so einfach wie möglich zu gestalten, um deren Einsatzmöglichkeiten optimal zu nutzen.
Inhalte der Schulung
TADmatch™
- Werkzeuge zur Planung
- Matching von DVT/FRS und STL
- Pins setzen
Bite Splint
- Grundwissen
- Bohrschablone erstellen
Ortho Apps
- Grundwissen
- TPA erstellen



Um aktiv und praxisnah lernen zu können, bitten wir Sie, Ihren eigenen Laptop mitzubringen. Sollten Sie keinen Laptop besitzen, teilen Sie uns dies bitte frühzeitig mit, damit wir Ihnen ein Leihgerät zur Verfügung stellen können.
Zeit
9. Januar 2026 9:00 - 16:00
Referent

André Kranzusch
Factory Campus - Düsseldorf
Ticketinformationen
Veranstaltungsdetails
Tiger Dental bietet mit der Entwicklung des TADmatch™ Moduls erstmalig die Möglichkeit, den digitalen Workflow komplett
Veranstaltungsdetails

Tiger Dental bietet mit der Entwicklung des TADmatch™ Moduls erstmalig die Möglichkeit, den digitalen Workflow komplett umzusetzen. Von der Positionsplanung der Minischrauben bis zum 3D-Druck von Modellen und der Herstellung von Insertionshilfen – mit dem TADmatch™ Modul, innerhalb der Software OnyxCeph³™, ist das jetzt möglich.
Im Webinar wird Ihnen ein Überblick über die Anwendung gegeben.
Inhalte:
- FRS mit 3D Daten kombinieren
- Schraubenpositionierung im Modul TADmatch™
- Erstellung Bohrschablone und kurzer Einblick ins OrthoApps-Modul


Diese Veranstaltung richtet sich an Anwender von OnyxCeph³™, die bereits die Grundkenntnisse, wie das Sockeln und Segmentieren, beherrschen.
Details zur virtuellen Veranstaltung
Inhalt nur für zahlende Teilnehmer verfügbar!
Zeit
12. Januar 2026 11:45 - 12:30
Ort
Online - Microsoft Teams
Referent

André Kranzusch
Veranstaltungsdetails
Fortgeschrittene
Veranstaltungsdetails
Fortgeschrittene
max. 8 Teilnehmer
8 Fortbildungspunkte

Sie haben bereits erste Erfahrungen mit OnyxCeph gesammelt und wollen mehr lernen? Vor allem spezielle Tools wie das Attachmentregelwerk oder den Attachmentdesigner kennenlernen und über Neuerungen z.B. das „neue Staging“ informiert werden? Dann sind Sie auf diesem Kurs richtig.
Lernziel dieses Seminars:
- Einfaches VTO Ziel erstellen
- Attachmentdesign mit dem Attachmentdesigner
- Generieren von Regeln im Attachment Regelwerk
- Matching von Zwischensteps
- Individuelles Staging/Erweitertes Staging
- Objekte hinzufügen im Alignermodul
- 3D Animationen erzeugen und beschriften (Webview)
- Erfahrungsaustausch und Diskussion
- FinAligner™ BracketErase-Modul
- Erarbeiten von verschiedenen Stagingprotokollen
Die ausführliche Setuperstellung wird in diesem Seminar nicht behandelt. Diese ist wesentlicher Bestandteil der Schulung „Virtuelle Setuperstellung“.



Zielgruppe & Voraussetzungen
Dieses Webinar richtet sich an kieferorthopädische Fachkräfte, Zahnärzt:innen, Kieferorthopäd:innen sowie Zahntechniker:innen, die bereits erste Erfahrungen mit OnyxCeph³ gesammelt haben und ihre Kenntnisse vertiefen möchten.
Zeit
30. Januar 2026 9:15 - 15:45
Referent

André Kranzusch
Factory Campus - Düsseldorf
Ticketinformationen
3
November 2025
Dezember 2025
Mo08dez9:30Webinar - Aligner 1Aligner VorbereitungOnline - Microsoft Teams9:30
Veranstaltungsdetails
Beginner
Veranstaltungsdetails
Beginner
max. 15 Teilnehmer

Webinar Aligner 1 – Grundlagen der digitalen Alignerplanung mit OnyxCeph³™
Dieses Webinar ist der ideale Einstieg in die digitale Kieferorthopädie mit OnyxCeph³™. In der Basisschulung lernen Sie die wichtigsten Schritte kennen, um sich optimal auf die spätere Alignerplanung vorzubereiten.
Inhalte der Schulung
- Grundlagen 3D – Verständnis für die 3D-Umgebung und die wichtigsten Tools
- Datenimport & Ausrichtung – wie Patientendaten sicher und präzise in OnyxCeph³™ importiert und positioniert werden
- Sockeln & Segmentieren – praxisnahes Arbeiten an digitalen Modellen als Basis für die weitere Planung
Bitte beachten Sie, dass die komplette Alignerplanung erst mit Webinar Aligner 1+2+3 abgehandelt ist.
Sie haben die Möglichkeit im Vorfeld eine Demolizenz für OnyxCeph³™ anzufragen, falls diese nicht schon installiert ist. Eine zeitgleiche Bearbeitung an Ihrem Rechner ist also möglich, wir empfehlen einen zweiten Bildschirm für einen optimalen Lerneffekt.
Zielgruppe
Das Webinar richtet sich an Kieferorthopäd:innen, Zahnärzt:innen und Praxismitarbeiter:innen, die ihre Kenntnisse in der digitalen Alignerplanung mit OnyxCeph³™ vertiefen und praxisnah erweitern möchten.
Werden Sie Schritt für Schritt fit in der digitalen Alignertherapie und bringen Sie Ihr Behandlungskonzept auf den neuesten Stand!
Details zur virtuellen Veranstaltung
Inhalt nur für zahlende Teilnehmer verfügbar!
Zeit
8. Dezember 2025 9:30
Ort
Online - Microsoft Teams
Referent

André Kranzusch
Januar 2026
Mo12Jan11:45Webinar - TADmatch™Platzierung von VerankerungsschraubenOnline - Microsoft Teams11:45
Veranstaltungsdetails
Tiger Dental bietet mit der Entwicklung des TADmatch™ Moduls erstmalig die Möglichkeit, den digitalen Workflow komplett
Veranstaltungsdetails

Tiger Dental bietet mit der Entwicklung des TADmatch™ Moduls erstmalig die Möglichkeit, den digitalen Workflow komplett umzusetzen. Von der Positionsplanung der Minischrauben bis zum 3D-Druck von Modellen und der Herstellung von Insertionshilfen – mit dem TADmatch™ Modul, innerhalb der Software OnyxCeph³™, ist das jetzt möglich.
Im Webinar wird Ihnen ein Überblick über die Anwendung gegeben.
Inhalte:
- FRS mit 3D Daten kombinieren
- Schraubenpositionierung im Modul TADmatch™
- Erstellung Bohrschablone und kurzer Einblick ins OrthoApps-Modul


Diese Veranstaltung richtet sich an Anwender von OnyxCeph³™, die bereits die Grundkenntnisse, wie das Sockeln und Segmentieren, beherrschen.
Details zur virtuellen Veranstaltung
Inhalt nur für zahlende Teilnehmer verfügbar!
Zeit
12. Januar 2026 11:45
Ort
Online - Microsoft Teams
Referent

André Kranzusch
Veranstaltungsdetails
Fortgeschrittene
Veranstaltungsdetails
Fortgeschrittene
max. 8 Teilnehmer
8 Fortbildungspunkte

Sie haben bereits erste Erfahrungen mit OnyxCeph gesammelt und wollen mehr lernen? Vor allem spezielle Tools wie das Attachmentregelwerk oder den Attachmentdesigner kennenlernen und über Neuerungen z.B. das „neue Staging“ informiert werden? Dann sind Sie auf diesem Kurs richtig.
Lernziel dieses Seminars:
- Einfaches VTO Ziel erstellen
- Attachmentdesign mit dem Attachmentdesigner
- Generieren von Regeln im Attachment Regelwerk
- Matching von Zwischensteps
- Individuelles Staging/Erweitertes Staging
- Objekte hinzufügen im Alignermodul
- 3D Animationen erzeugen und beschriften (Webview)
- Erfahrungsaustausch und Diskussion
- FinAligner™ BracketErase-Modul
- Erarbeiten von verschiedenen Stagingprotokollen
Die ausführliche Setuperstellung wird in diesem Seminar nicht behandelt. Diese ist wesentlicher Bestandteil der Schulung „Virtuelle Setuperstellung“.



Zielgruppe & Voraussetzungen
Dieses Webinar richtet sich an kieferorthopädische Fachkräfte, Zahnärzt:innen, Kieferorthopäd:innen sowie Zahntechniker:innen, die bereits erste Erfahrungen mit OnyxCeph³ gesammelt haben und ihre Kenntnisse vertiefen möchten.
Zeit
30. Januar 2026 9:15
Referent

André Kranzusch
Factory Campus - Düsseldorf
Ticketinformationen
März 2026
Di24mär9:00Digitale TechnologienInovationen in der KFOOnline - Microsoft Teams9:00 Info:Info
Veranstaltungsdetails
Inovationen in der Kieferorthopädie – Digitale Technologien für Labor und Praxis Digitale
Veranstaltungsdetails
Inovationen in der Kieferorthopädie – Digitale Technologien für Labor und Praxis
Digitale Lösungen erleichtern heute viele Arbeitsschritte in der Kieferorthopädie – von der Planung bis zur Umsetzung in Labor und Praxis. In unserem Online-Seminar zeigen wir anhand praktischer Beispiele, wie moderne Softwaretools den Arbeitsalltag optimieren können. Im Fokus stehen dabei die vielseitigen Module der Behandlungsplanungssoftware OnyxCeph³™.
Besonders freue ich mich, Peter Stückrad als Gastsprecher begrüßen zu dürfen, der spannende Einblicke und Erfahrungen aus der Praxis mitbringt.
Inhalte:
Vorstellung der Software für Aligner Set-Ups
– Import von STL-Daten
– Aufbereitung der digitalen Modelle
– Segmentierung der Zahnbögen
– Set-Up und Set-Up Prognose
– Export der Druckdaten
– Druck der Modelle
und die besonderen Anforderungen bei der Herstellung
– Aligner
– Sportmundschutz
– KFO-Dehnplatte/ Retentionsplatte
für Software-basierte Laborprozesse**
– Übertragungstrays für das indirekte Kleben
– 3D-Retainer
– GNE/ Hyrax digital geplant und Laser-Sintern
– Apparaturen zur Distalisierung
Ein Potenzial die Aligner-Therapie zu revolutionieren
– Vorstellung der gesamten Prozesskette
– Ausblick
Details zur virtuellen Veranstaltung
Inhalt nur für zahlende Teilnehmer verfügbar!
Zeit
24. März 2026 9:00
Ort
Online - Microsoft Teams
Referent

André Kranzusch
Peter Stückrad
- 02/2025-heute Internationaler Referent
- 2009-01/2025 Leiter Entwicklung Orthodontie und AnwendungstechnikFirma SCHEU-DENTAL GmbH in Iserlohn
- 2009-2022 Sicherheitsbeauftragter für MedizinprodukteSCHEU-DENTAL, Iserlohn
- 2017-2020 Dozent der Meisterschule für Zahntechnik, Ronneburg
- 2009 Zertifizierung in Süd-Korea, SeoulProf. Dr. Tae Weon Kim, KieferorthopädeLevel I+ Level IIClosing with degree:Certified CA® CLEAR ALIGNER SpeakerMember of CA® CLINICAL BOARD
- 2002-2009 Laborleiter bei Orthosleep-19* und Orthosynth-19**Würzburg (Thüngersheim)*Fachlabor für Schlafapnoe-Zahntechnik,**Kieferorthopädisches Fachlabor,
- 1992-2002 Laborleiter und KonzessionsgeberProf. Dr. Rolf Hinz, Dr. Hinz KFO Labor, Herne
- 1996-1998 Betriebswirt des Handwerks (BdH)Handwerkskammer Bildungszentrum (HBZ), MünsterBerufsbegleitende Ausbildung
- 1996-heute Weltweite Referententätigkeit mit Themen:Tiefziehtechnik, Kieferorthopädie und Schnarch-Therapie
- 1991-1992 Zahntechnikermeister (ZTM),Handwerkskammer Bildungszentrum (HBZ), MünsterTagesschule
- 1988-1991 Abteilungsleiter Kronen- und BrückentechnikZahntechnik Mentler, Dortmund
- 1987-1988 Allround-PraxistechnikerZahnarztpraxis Yavuz Toker, DDS, Dortmund
- 1983-1986 Auslandsaufenthalt USA, San Antonio/TexasOral Prosthetic Lab. Inc.Authentic Dental Lab. Inc.Abschluss zum Certified Dental Technician, CDTNational Board for Certification, berufsbegleitend
- 1980-1983 Jungtechniker/Edelmetall und FrästechnikArno Vigano Zahntechnik, Castrop-Rauxel
- 1976-1980 Ausbildung zum ZahntechnikerZahntechnik Wilhelm Mentler, DortmundZahntechnikermeister, Betriebswirt des Handwerks
- Zertifizierter CA® CLEAR ALIGNER Referent
Iserlohn, Tel. +49 172 681 1564
peter.stueckrad@aol.com
Ticketinformationen
Juni 2026
- Event Name
Mo
Di
Mi
Do
Fr
Sa
So
- Event Name
Mo
Di
Mi
Do
Fr
Sa
So









